Book An Appointment
Root Canal Treatment Teeth Whitening Smile Makeover Gum Contouring And Crown Lengthening Dental Veneers Implants Crowns Tooth Coloured Fillings Painless Wisdom Tooth Removal Comfortable Extractions Deep Cleaning & Polishing Braces Paediatric Dentistry

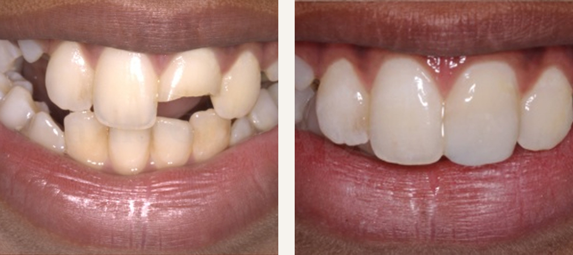
WHAT IS A FILLING?

WHAT IS A FILLING?

A filling is a way to restore a tooth damaged by decay back to its normal function and shape. A cavity is a hole left behind after tooth decay & germs destroy part of a tooth. Fillings restore the lost tooth part & enable you to chew & eat as before.

Modern fillings are called “restorations”. They don't just fill the cavity present, they restore the tooth to its correct shape & size.

WHAT IS TOOTH COLOURED FILLING?

WHAT IS TOOTH COLOURED FILLING?

A tooth coloured fillings are the restorative materials which match the colour of the tooth,thereby improving the aesthetics as well function(biting).

Fillings prevent the decay from going deeper, fill the cavity already present in the tooth,improves the chewing & resolves your problems of food getting stuck or sensitivity.

Tooth coloured fillings look & behave like the tooth, hence you do not need to worry even if you have cavities in your front teeth

WHAT ARE THE DIFFERENT TYPES OF TOOTH COLOURED FILLINGS?

WHAT ARE THE DIFFERENT TYPES OF TOOTH COLOURED FILLINGS?

Composites are the most frequently used tooth coloured filling materials.There are different shades available which helps in the selection of material which varies from person to person.

WHAT IS THE PROCESS AND BENEFITS OF COMPOSITE FILLING?


After we prepare your tooth, we will place the white filling material in thin layers to fill the hole in your tooth completely, and essentially rebuild the structure of your tooth. A special light is then used to set the white filling material, making it very hard and durable against normal biting forces. Lastly, the tooth is shaped and polished for a smooth finish, ensuring that it bites together correctly against the opposing teeth.
Composite resin fillings look completely natural and restore tooth functionality very effectively.
They are very durable and last up to 7-10 years with very good oral hygiene.

CAN I EAT EVERYTHING ON MY FILLING IMMEDIATELY?


You might experience minor sensitivity & discomfort in the initial 2-3 days but it adjusts soon. You can eat everything immediately if you have had composite restorations done.

HOW WILL I KNOW MY TOOTH IS DECAYED OR HAVING A CAVITY?

HOW WILL I KNOW MY TOOTH IS DECAYED OR HAVING A CAVITY?

Initial symptoms of a cavity are food getting stuck, minor sensitivity or you may feel pits or sharp areas of teeth on your tongue & cheeks. At this stage, you might be able to get just a restoration done.

MY TOOTH IS HURTING & HAS A HOLE. CAN I GET A FILLING?

MY TOOTH IS HURTING & HAS A HOLE. CAN I GET A FILLING?

Mostly if your tooth has a hole & you are having pain, you require a root canal treatment & not a filling. If you get a filling done at this stage, it might lead to further pain & swelling.
If you have had a filling done many months ago & it is hurting, you might need a root canal treatment on that tooth.

If left untreated, the decay will progress leading it to reach deeper layers of tooth causing pain & severe sensitivity on biting as well as cold foods. At this stage a filling is not possible & you may need a root canal treatment.

HOW WILL I KNOW THAT I HAVE TO GET THE FILLING REPLACED?

HOW WILL I KNOW THAT I HAVE TO GET THE FILLING REPLACED?

The filling might start having dark lines or holes or a part of it may break off. If that happens, you need to get the tooth checked & the necessary treatment done.

WHY CHOOSE SMILESTONE FOR YOUR COMPOSITE TOOTH-COLOURED FILLINGS?

WHY CHOOSE SMILESTONE FOR YOUR COMPOSITE TOOTH-COLOURED FILLINGS?

At Smilestone Dental Care, our composite tooth-coloured fillings are designed for durability, comfort, and a natural appearance. Unlike fillings from other clinics that may lead to problems like food getting stuck, breaking, or not feeling quite right, our fillings are precisely crafted to fit seamlessly with your teeth. Dr. Aparna Gupta and our team use the latest materials and techniques to ensure that your fillings are strong, long-lasting, and blend perfectly with you natural teeth, so you can eat and smile confidently.

HOW MUCH DOES TOOTH COLOURED FILLING COST?

HOW MUCH DOES TOOTH COLOURED FILLING COST?

The average cost of Tooth Coloured Filling will range from INR 2000 to INR 5000.