Book An Appointment
Root Canal Treatment Teeth Whitening Smile Makeover Gum Contouring And Crown Lengthening Dental Veneers Implants Crowns Tooth Coloured Fillings Painless Wisdom Tooth Removal Comfortable Extractions Deep Cleaning & Polishing Braces Paediatric Dentistry

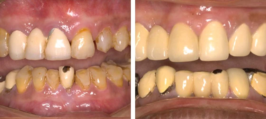
DENTAL IMPLANTS IN RAJARHAT — NATURAL-LOOKING, LONG-LASTING TOOTH REPLACEMENT

Smilestone Dental Care provides dental implants designed to restore chewing strength, comfort and appearance. A dental implant replaces the root of a missing tooth with a titanium post, followed by a ceramic crown that resembles natural teeth. Implants help support chewing, prevent shifting of nearby teeth and provide stable, aesthetic results.

WHY PEOPLE CHOOSE IMPLANTS OVER BRIDGES OR DENTURES:

- Implants do not require cutting adjacent teeth.
- They feel closer to natural teeth.
- They help maintain jawbone structure.
- They offer stable chewing comfort.
Bridges require shaping neighbouring teeth and are used when implants are unsuitable. Dentures are removable options for multiple missing teeth.

TYPES OF IMPLANT SOLUTIONS:

- Single tooth implant with ceramic crown.
- Multiple teeth implants or implant-supported bridges.
- Full-arch implant rehabilitation (based on evaluation).
- Implant-supported dentures for added stability.

YOUR IMPLANT JOURNEY:

1. Consultation and digital evaluation.
2. Implant placement under local anaesthesia.
3. Healing phase depending on bone condition.
4. Ceramic crown placement for function and appearance.

FREQUENTLY ASKED QUESTIONS:

How long does an implant take?
Placement is usually done in one visit; healing varies.

Are implants painful?
Local anaesthesia keeps the procedure comfortable; mild soreness is temporary.

What is the cost of implants in Kolkata?
Costs vary depending on bone condition, materials and complexity.

How long do implants last?
With good hygiene and check-ups, implants can last many years.

Who is suitable for implants?
Most adults with healthy gums and adequate bone may be candidates.

Is an implant better than a bridge?
Implants do not rely on other teeth; suitability is determined after evaluation.

Why choose us:
digital planning, natural-looking ceramic crowns, clear guidance and stepwise treatment.

To book your implant consultation, call: +91 86979 69918.
Location: Rajarhat, New Town, Kolkata. treatment.

WHAT ARE DENTAL IMPLANTS?

WHAT ARE DENTAL IMPLANTS?

Dental implants are a fantastic option for replacing missing teeth. They are fixed replacements of missing teeth. Dental implants consist of 2 parts: replacing the roots of the teeth & replacing the crown . Dental implants are anchored into the jawbone, & can be placed anywhere, upper or lower jaw. They're constructed of titanium, which is biocompatible and capable of fusing with the surrounding bone for long-term stability. They will not interfere with metal detectors or MRI/CT since they are made of titanium

ADVANTAGES OF DENTAL IMPLANTS

ADVANTAGES OF DENTAL IMPLANTS

  • Closest replacement of natural teeth
  • Restore your self-esteem and smile: Implants have the same appearance and feel like your natural teeth.
  • Restore your ability to speak:Missing teeth can cause difficulties in talking & pronouncing certain words. Since implants are like natural teeth, they resolve speech difficulties associated with missing teeth, unlike dentures
  • Re-establish effective chewing
  • Missing teeth can cause your lips & cheeks to flatten.Implants help you restore that
  • More convenient: Implants don't need any special maintenance. They need to be cleaned like natural teeth
  • More practical: they do not slip while talking, laughing, eating
  • In addition to being extremely durable, implants can last a long time.
  • Do not harm adjacent teeth

WHICH IS A BETTER OPTION: IMPLANTS OR BRIDGES OR REMOVABLE DENTURES?

WHICH IS A BETTER OPTION: IMPLANTS OR BRIDGES OR REMOVABLE DENTURES?

  • Eat everything, including biting in front teeth: Implants are the best option since they are anchored in the jawbone & you can eat everything on them
  • Do not need trimming of side teeth: Implants do not need support of adjacent teeth & hence no side teeth need to be trimmed for implants. Side teeth need to be trimmed for bridges to provide support
  • Less number of visits: Implants can be done in the same visit as extraction, hence you will immediately be able to start the process of replacement. No additional visits will be required, saving time
  • Long lasting: Implants last much longer than bridges, hence the long term cost of getting an implant is much lower, as low as Rs 4-Rs 8 per day.
  • No cavities: Implants cannot get cavities unlike bridges. Bridges are supported on the side by natural teeth, which can get cavities if not maintained well
  • Dental implants preserve your bone, preventing thinning of bone. When a tooth is removed & not replaced with an Implant, the bone in that area shrinks

I DONT HAVE PAIN IN MY MISSING TOOTH, IS IT NECESSARY TO REPLACE THE MISSING TOOTH?


Missing teeth should be replaced so as not to harm adjacent teethIf you have do not replace your missing teeth, it will cause:
  1. Chewing problems: this leads to more strain & pressure on other remaining teeth, leading to frequent cavities, gum issues, fracture of teeth which will lead to pain & discomfort & more frequent visits to the dentist
  2. Remaining teeth will move: When even one tooth is removed & not replaced the side teeth will tilt & the opposite teeth will move to close the space. This is not an orderly movement. It is a very disorganised & random movement which leads to spaces in all of these teeth leading to cavities, gum issues & other problems. For every 1 tooth extracted, 5 teeth will get further problems leading to more pain, frequent dental visits & expense
  3. Spaces created will also lead to gaps in front teeth, even if a tooth at the back has been extracted. This might lead to hesitation in smiling & laughing & decreased self confidence
  4. Jawbone shrinks leading to changes in face shape & giving an aged look

HOW SUCCESSFUL ARE DENTAL IMPLANTS?


Dental Implants have a success rate of 95-98% & can last for over 10-15 years easily. They are fairly easy to maintain, like a natural tooth, however they are susceptible to gum disease if not maintained well. Our dentists will teach you to maintain the Implant. How much an implant lasts depends on how well you brush & floss as well as your overall health like diabetes & other lifestyle diseases.

WHAT ARE DENTAL IMPLANTS MADE OF? WOULD THIS INTERFERE WITH MRI/CT OR METAL DETECTORS?

WHAT ARE DENTAL IMPLANTS MADE OF? WOULD THIS INTERFERE WITH MRI/CT OR METAL DETECTORS?

Dental Implants are made of titanium or ceramic. They are extremely strong & made to withstand daily chewing. Since titanium is a non ferromagnetic element(Not attracted to magnets),Dental implants would not interfere with either MRI/CT/metal detectors.

HOW LONG DOES IT TAKE TO FINISH THE TREATMENT?

HOW LONG DOES IT TAKE TO FINISH THE TREATMENT?

Implant process takes around 2-3 months if the bone is good. Most of the time is spent waiting for the implant to fuse with the bone which goes on below the gums without any feeling or awareness. Treatment time depends upon the initial amount of bone present.

I HAVE A TOOTH WHICH REQUIRES EXTRACTION. WHEN CAN I GET THE IMPLANT DONE?

I HAVE A TOOTH WHICH REQUIRES EXTRACTION. WHEN CAN I GET THE IMPLANT DONE?

Ideally you should get the implant placed in the same visit as your extraction. This way, in one visit 80% of the procedure is done without additional anaesthesia injection(since you will be anaesthetised for extraction already). If you delay the Implant, then after extraction the bone & gums might shrink. This can lead to the necessity of other procedures like bone or gum build up(Bone grafting) which need additional time & costs. After this you need to wait for 2-3 months for the Implant to fuse to bone, & the dentist will take measurements & place the cap on the implant.

DURING THIS WAITING PERIOD OF 2-3 MONTHS, WILL I HAVE TO BE WITHOUT TEETH?

DURING THIS WAITING PERIOD OF 2-3 MONTHS, WILL I HAVE TO BE WITHOUT TEETH?

After implants, Temporary teeth or dentures can be worn till the final teeth can be attached.

I HAVE A MISSING TOOTH WHICH I GOT EXTRACTED MANY YEARS AGO. CAN I STILL GET AN IMPLANT?

I HAVE A MISSING TOOTH WHICH I GOT EXTRACTED MANY YEARS AGO. CAN I STILL GET AN IMPLANT?

Yes, of course. Implants are pf 2 types:
  1. Immediate Implants: In this, your tooth which requires extraction is removed & an Implant placed on the same visit.
  2. Delayed Implants: if immediate implants are not possible or you had a tooth extracted long back & did not get it replaced, you can still get an implant.
The Implant specialist will check your bone after CBCT scans & advise if you need any bone build ups or there is sufficient bone available to place implants.

I HAVE DIABETES, CAN I STILL GET AN IMPLANT?

I HAVE DIABETES, CAN I STILL GET AN IMPLANT?

Yes you can if your diabetes is under control with medications. You need to maintain your blood sugar levels with diet & lifestyle changes & there should be no problem in your implants

ARE DENTAL IMPLANTS PAINFUL?

ARE DENTAL IMPLANTS PAINFUL?

No, not at all! With superior local anaesthesia techniques available the discomfort associated with getting implants is negligible.

WILL THERE BE A LOT OF BLEEDING?

WILL THERE BE A LOT OF BLEEDING?

There is hardly any bleeding encountered. It is less than a tooth extraction. When we see patients for follow up visits they report that they were pleasantly surprised by how little discomfort they had. There may be a little discomfort and swelling for a short while after surgery which is easily manageable with pain medications. You can return to work and your daily activities the next day. Patients are comfortable between appointments.

What are the complications/ risks associated with implants?

Dental implants are one of the safest medical procedures. However, any surgery has certain complications that can occur rarely.
Bone loss is one of the most common complications which happens if a missing tooth is left untreated for a long time or if tooth complications lead to gum diseases. This can be easily corrected by a bone grafting procedure.
Sometimes the body of a patient with compromised immunity may reject the implant. Therefore, it is necessary to discuss your complete medical history with your dentist before getting an implant done.
Infection can occur due to poor aftercare and oral hygiene. This can delay the healing process. It is therefore necessary to follow proper care instructions given by your dentist and avoid smoking and alcohol.

What to expect during your Implant appointment?

  1. We will Schedule a consultation and examination with our dental implant specialist(Dr Mitrasen Manna) as the initial step. In order to assess the condition of your jawbone and establish whether dental implants are a good option for you, the dentist will check your teeth and gums, take X-rays, and advise CBCT(CT scans for teeth) scans.
  2. Treatment Plan: The dentist will create a treatment plan customised to your needs based on the assessment, taking into account the number of implants required, the type of implants, and tooth which needs to be replaced. The dentist will discuss the type of Implant suitable for you & if any additional bone build ups are required.
  3. On the day of Implant placement, you will be anaesthetised & painkillers will be given to you to avoid the chance of pain. If you are afraid of dental treatment, talk to our experts. They will have anxiety reducing medicines to help you through the process. The dentist will place the implant at the site of the missing tooth. This process is usually completed in less than an hour. A small cap covers your implant & stitches are placed to prevent any bleeding.
  4. At the 1 week follow up, we will check you for any problems. Most people are very surprised that they hardly felt anything.
  5. After the waiting period of 2-3 months in which the implant fuses to the bone, the dentist will attach a connector & take measurements of your teeth.
  6. At the next appointment, the final cap is placed onto your teeth & attached on. For a natural-looking smile, the restoration will be made specifically to match the size, colour, and form of your natural teeth.
You will receive advice on how to take care of their new dental implants and precise proper oral hygiene after the treatment is finished in order to ensure lasting results. You need to brush & floss well to ensure that your implants last long.

What companies do you have at Smilestone for Dental Implants?

We have varied implant companies available ranging from budget Implants of Dentium NR(South korean) to mid range implants of Superline (South Korean) & Bioline(Germany) to high range Implants of Biohorizons (USA), Nobel Biocare(Swiss) & Straumann(Swiss).

How much do Implants cost in Rajarhat Newtown?

The cost of implants depend upon the following factors:
  • The quality and amount of bone. If bone is deficient, bone grafting may be required which increases the cost of treatment.
  • The number of teeth which need to be replaced.
  • If the teeth are replaced by single crowns, fixed bridges or dentures stabilised by implants.
  • The cost of treatment can vary upwards of 20000/- for a single tooth replacement & upwards of 250000/- for full mouth fixed teeth.

WHY CHOOSE SMILESTONE FOR YOUR DENTAL IMPLANT?

WHY CHOOSE SMILESTONE FOR YOUR DENTAL IMPLANT?

At Smilestone Dental Care, we offer expert and precise dental implant treatments designed for long-lasting results. Dr. Mitrasen Manna, our experienced implantologist, has completed over 50 courses in implantology, ensuring that each implant is placed with the utmost care and precision. Using advanced techniques and technology, we provide comfortable, minimally invasive procedures for optimal healing and stability. Our personalised approach means every patient gets a tailored treatment plan, ensuring natural-looking results that feel like your own teeth. At Smilestone, you can trust us to restore your smile with expertise, comfort, and long-term success.

ARE THERE ANY PAYMENT PLANS AVAILABLE?


Yes. We have various payment plans available. Our treatment coordinator will help you with those.

HOW MUCH DOES AN IMPLANT COST?

HOW MUCH DOES AN IMPLANT COST?

The average cost of an Implant with crown starts from INR 18000 onwards.